Studio Dentistico Raco
Faccette Dentali Roma Aurelia: Studio Dentistico Raco
Se cerchi un dentista specializzato in faccette dentali a Roma Aurelia, lo Studio Dentistico Raco è la scelta ideale per chi desidera un sorriso naturale e duraturo. La nostra esperienza e il nostro approccio personalizzato ti accompagnano in ogni fase del trattamento, assicurando risultati che rispecchino le tue aspettative estetiche e funzionali.
Approccio Personalizzato alle Faccette Dentali
Per ogni paziente effettuiamo un’analisi approfondita del sorriso, tenendo conto dei tratti del viso e delle proporzioni dentali. In questa fase di valutazione, l’aspetto estetico e quello funzionale si fondono: vogliamo che il risultato finale rispecchi esattamente i desideri del paziente, coinvolgendolo attivamente nel processo decisionale.
Digital Smile Design: Visualizza il tuo Nuovo Sorriso
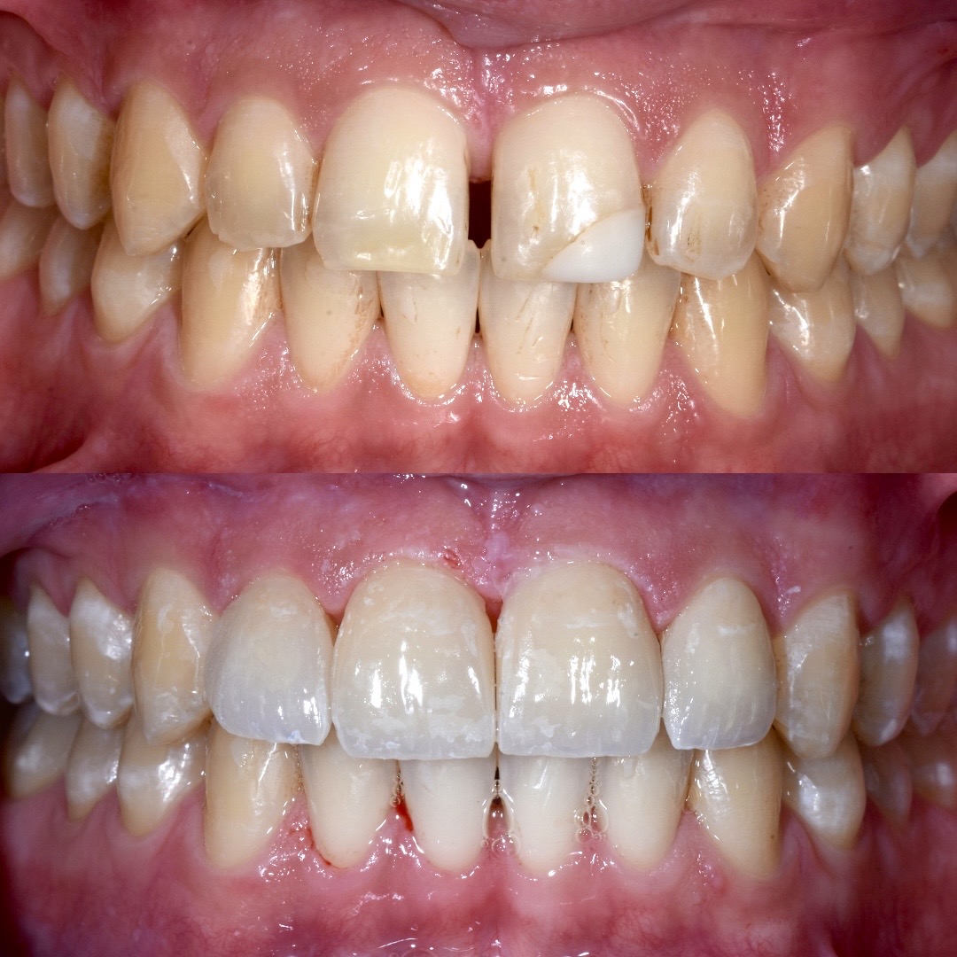
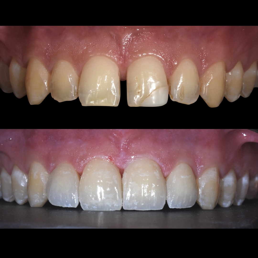
Faccette dentali Roma Aurelia
Utilizziamo il Digital Smile Design (DSD), una tecnologia all’avanguardia che permette di creare simulazioni digitali estremamente realistiche del tuo nuovo sorriso. In questo modo, i pazienti possono visualizzare in anteprima il risultato finale e collaborare con noi per definire ogni dettaglio.
Il DSD migliora anche la comunicazione con il laboratorio odontotecnico e consente una pianificazione precisa di ogni singolo passaggio, riducendo i margini di errore e garantendo un risultato personalizzato.
Faccette No-Prep: Minima Invasività per un Sorriso Naturale
Faccette dentali no-prep Roma Aurelia
Adottiamo un principio di minima invasività in ogni intervento. Quando possibile, proponiamo le faccette no-prep, che non richiedono la limatura del dente. In altri casi, una preparazione mirata dello smalto risulta necessaria per assicurare la massima adesione e un effetto estetico superiore. Ogni scelta è orientata all’equilibrio tra conservazione del tessuto dentale, funzione masticatoria ed estetica.
Tempistiche e Fasi del Trattamento con Faccette Dentali
Il trattamento si completa generalmente in 2-4 settimane, suddivise in 3 appuntamenti principali:
- Prima visita: consultazione iniziale, esame clinico, presa delle impronte (o scansioni digitali), fotografie intra ed extraorali e pre-visualizzazione con il Digital Smile Design.
- Pianificazione e mock-up: creazione di un modello provvisorio per valutare il risultato finale e, se necessario, preparazione guidata del dente direttamente su mock-up per preservare al massimo lo smalto.
- Applicazione finale: cementazione delle faccette definitive, preceduta dalla prova con try-in paste per un’ultima verifica dell’estetica e della funzionalità. A seguire, vengono fornite istruzioni dettagliate per l’igiene orale e si effettua un controllo dopo circa due settimane.
Adattamento delle Faccette Dentali
Le faccette sono progettate su misura per ogni sorriso. Analizziamo attentamente le proporzioni del viso e la dinamica del sorriso, servendoci del DSD per un risultato altamente personalizzato. Prima della cementazione definitiva, effettuiamo una prova con apposite paste per verificare l’estetica e la funzione, così da apportare eventuali modifiche prima di finalizzare il lavoro.
Materiali Utilizzati per le Faccette Dentali
Nel nostro studio a Roma Aurelia impieghiamo materiali di alta qualità:
- Ceramica feldspatica: estremamente traslucente e capace di replicare fedelmente i toni naturali del dente; ideale per creare faccette sottili con un’estetica molto naturale.
- Disilicato di litio: apprezzato per la resistenza superiore e l’ottima estetica, è perfetto per faccette che richiedono robustezza e durata nel tempo, senza compromettere la naturalezza del sorriso.
Garanzia e Manutenzione delle Faccette Dentali
Offriamo una garanzia di 5 anni sulle faccette, che copre eventuali difetti di produzione o problemi di adesione. Sono esclusi i danni dovuti a cattive abitudini, come il bruxismo non controllato, o a una scarsa igiene orale. Per mantenere le faccette in ottime condizioni:
- Igiene orale scrupolosa con dentifrici non abrasivi, filo interdentale o scovolini.
- Evitare abitudini dannose (mordere penne, unghie, ghiaccio o usare i denti per aprire oggetti).
- Controllo del bruxismo tramite bite notturno, se necessario.
- Attenzione a cibi e bevande che possono macchiare o indebolire le faccette (caffè, tè, vino rosso).
- Visite regolari dal dentista per verificare l’integrità delle faccette e ricevere eventuali ritocchi.
Comfort del Paziente durante il Trattamento
Sappiamo quanto sia importante sentirsi a proprio agio durante il trattamento. Per questo, utilizziamo tecniche di anestesia locale e forniamo spiegazioni dettagliate su ogni fase, così da ridurre dubbi e timori. Le domande più frequenti riguardano i tempi di trattamento, l’aspetto finale e i costi delle faccette dentali; rispondiamo sempre con trasparenza, mostrando simulazioni e mock-up per rassicurare i pazienti.
Simulazione del Sorriso con Mock-up
Oltre al Digital Smile Design, offriamo anche simulazioni fisiche tramite mock-up provvisori, consentendo al paziente di “indossare” il nuovo sorriso prima di procedere con la fase definitiva. Questo approccio interattivo aiuta a limitare incertezze e a personalizzare ulteriormente il risultato.
Unicità del nostro Lavoro con le Faccette Dentali
La cura dei dettagli è il nostro punto di forza. Combiniamo tecnologie innovative e un approccio empatico per entrare in sintonia con le esigenze del paziente. Ogni trattamento è una partnership tra il medico e il paziente, entrambi protagonisti di un percorso che punta all’eccellenza estetica e funzionale.
Risultato Naturale con le Faccette Dentali
Il nostro obiettivo è consegnare un sorriso che sembri davvero il tuo, integrandolo alla perfezione con la fisionomia del volto. Valutiamo la linea del sorriso, il colore della pelle e la forma delle labbra, collaborando con odontotecnici-artigiani capaci di stratificare la ceramica come se fosse un abito su misura. Ogni faccetta è unica, realizzata con la massima attenzione per i dettagli.












Cosa dicono di noi
Le recensioni dei nostri pazienti
Il costo dell'intervento ti spaventa?
Noi ti offriamo ben 4 soluzioni di pagamento personalizzate!
1.
Pagamento
anticipato
2.
Pagamento
a rate
3.
Pagamento
standard
Puoi dilazionare il tuo preventivo in 3 pagamenti: 30% - 40% - 30% dell'importo concordato.
4.
Finanziamento
flessibile
Con Compass puoi finanziare importi fino a 30.000 euro e pagare in comode rate mensili.
Studio Dentistico Raco
Per informazioni o per prenotare una visita,
scrivici e lascia un messaggio
Contattaci
Indirizzo
Via Baldo degli Ubaldi, 8, 00167 Roma
Orario
dal lunedì al venerdì 9.00 – 19.00 / sabato 9.00 – 13.00
Telefono
Mobile
+393275455816
Il telefono è attivo per emergenze anche fuori l’orario lavorativo
